
Er det for sent at få et tandimplantat? Ting at tænke over
Har du mistet en tand og ventet længe på at få den repareret? Du er måske bange for, at du har ventet for længe på en Tandimplantat. Du tror måske, at din chance er væk for altid. Denne artikel vil forklare, hvorfor det næsten aldrig er sandt. Fortsæt med at læse for at finde ud af de gode nyheder i dagens tandpleje. Du kan lære, hvordan du stadig kan få en stærk løsning, der holder i lang tid, på dine manglende tænder. Det er ligegyldigt, hvor længe det er siden. Vi vil se på de vigtigste ting, du skal tænke på.
Indholdsfortegnelse
Hvad er et tandimplantat, og hvorfor er det vigtigt med god timing?
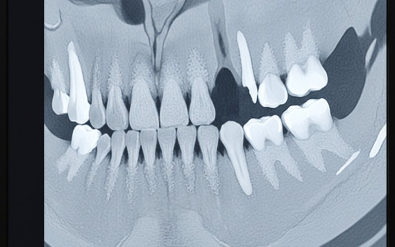
Et tandimplantat er den bedste måde at erstatte manglende tænder på. Du kan tænke på det som en menneskeskabt tandrod. Det er en lille, stærk stolpe. Den er lavet af et metal, der hedder titanium. Implantatstolpen sættes ind i din kæbebensknogle. Den sidder lige der, hvor din gamle tand sad. Når den er helet, sættes en ny krone ovenpå. Denne krone er lavet specielt til dig. Det, du får i sidste ende, ser ud og føles præcis som en rigtig tand.
Hvornår du får et implantat, er en meget vigtig ting at tænke på, når du har mistet en tand. Din kæbeknogle har brug for noget at lave. Tandens rod holder knoglen i gang og i arbejde. Det holder den stærk og sund. Når du mister en tand, stopper det arbejde. Din krop begynder at tro, at der ikke længere er brug for knoglen. Det er derfor, mange tandlæger siger, at man skal få et tandimplantat så hurtigt som muligt efter tandtab.
Er det virkelig nogensinde for sent at få tandimplantater?
Her er det nemme svar. Den gode nyhed er, at det næsten aldrig er for sent at få et tandimplantat. Det er lettere at placere et tandimplantat lige efter, at en tand er væk. Men nutidens tandpleje har gode muligheder for at hjælpe folk, der har ventet længe. Din alder er normalt ikke et problem. Hvor sund du generelt er, er vigtigere. Formen på din kæbe er også vigtigere.
Så hvis du spørger, om det er for sent at få tandimplantater, er svaret højst sandsynligt nej. At vente kan gøre tingene sværere, det er sandt. Din knogle kan være blevet mindre. Eller dit tandkød er måske ikke i god stand. Men nu har en god tandlæge de rigtige værktøjer og måder at gøre tingene på for at løse disse problemer. For de fleste mennesker er det aldrig for sent at få smilet tilbage med et tandimplantat. Implantater tilbyder en løsning, der holder, og som du kan regne med.
Hvad sker der med dit kæbeben, når en tand er fjernet?
Når en tand fjernes, begynder der at ske noget, der kaldes resorption. Det er et fint ord for en simpel idé. Uden denne stimulering fra tandroden begynder kæbebenet at skrumpe og blive svagere. Knoglen mister sin bredde og højde. Den mister også sin tæthed. Dette knogletab sker hurtigst i det første år efter en tandudtrækning. Men det fortsætter i årevis.
Dette knogletab kan ændre, hvordan dit ansigt ser ud. Det kan få dig til at se ældre ud. Det kan også få de nærliggende tænder til at løsne sig eller flytte sig til det forkerte sted. Knoglen kan blive så svag, at den ikke længere kan holde på et nyt tandimplantat uden hjælp. Det er hovedårsagen til, at folk bekymrer sig om, at det måske er for sent at få tandimplantater.
Kan man få et tandimplantat lang tid efter, at man har mistet en tand?
Ja, det kan du helt sikkert. Patienter kan stadig få et tandimplantat, selv mange år efter at de har mistet en eller flere tænder. Masser af mennesker har gjort det uden problemer. Det sværeste er at rette op på de forandringer, der er sket i din mund, siden du mistede din tand. Din tandlæge skal se på, hvor meget knogle du har tilbage. De vil også tjekke sundheden af dit tandkødsvæv.
På grund af nye og bedre værktøjer i tandplejen er det ikke længere en hindring for at få implantater, at man har ventet længe. Din vej til et nyt tandimplantat tager måske et ekstra skridt. Dette er sammenlignet med en person, der gjorde det tidligere. Men hvordan det ser ud i sidste ende, kan være lige så stærkt og flot. Det er muligt at få sit fulde smil tilbage mange år efter et tandtab.
Hvordan ændrer knogletab den måde, et tandimplantat placeres på?
Et tandimplantat har brug for en solid base. Tænk på at bygge et hus. Du ville ikke bygge det på blød, svag jord. Sådan er det også med et tandimplantat. Det skal holdes godt på plads i en stærk kæbebensknogle. Knogletab fjerner denne solide base. Hvis der mistes for meget knogle, er der ikke nok knogle til at støtte implantatet.
For at få et godt tandimplantat skal der være nok knogle. Knoglen skal være tyk nok til at holde tandimplantatet fast, mens det heler. Hvis din knogletæthed ikke er høj nok, kan implantatet placeres, men det er ikke sikkert, at det fungerer. Din tandlæge vil bruge særlige røntgenbilleder. De måler tætheden og mængden af din knogle. Det viser, om den kan bære et implantat.

Hvad hvis jeg har tandkødssygdomme? Kan jeg stadig få et tandimplantat?
Du kan ikke få et tandimplantat, hvis du har tandkødssygdomme, som det er tilfældet nu. Sundt tandkød er meget vigtigt for implantatets succes i lang tid. Tandkødssygdom, som også kaldes paradentose, er en sygdom i dit tandkødsvæv. Det kan skade tandkødet og knoglen, som holder tænderne på plads. At sætte et implantat på et sted med bakterier ville være som at plante et træ i dårlig jord.
Det første, man skal gøre, er at behandle tandkødssygdommen. Din tandlæge vil samarbejde med dig om at gøre din mund sund igen. Det kan omfatte dybderensninger eller anden pleje. Ved fremskreden tandkødssygdom kan en stor del af tandkødet være væk. Hvis det sker, kan du få brug for en tandkødstransplantation. Det hjælper med at bygge dit tandkød op igen før tandimplantatoperationen.
Hvad hvis mine andre tænder flyttede sig på grund af det tomme rum?
Når du mister en tand, opstår der et tomrum. Med tiden kan tænderne ved siden af pladsen begynde at læne sig op ad eller flytte sig ind i det tomme rum. Tanden over eller under den tomme plads kan også flytte sig. Denne flytten rundt skaber et nyt problem: fejlstilling, eller at tænderne ikke står på en lige linje.
Denne ændring i, hvordan dine tænder passer sammen, kan gøre det sværere at placere tandimplantatet. Der er måske ikke plads nok til at placere det nye tandimplantat og kronen på den rigtige måde. Nogle gange kan din tandlæge foreslå ortodontisk behandling. Det er noget i retning af en bøjle. Det hjælper med at flytte tænderne tilbage på deres rette plads. Det giver den rette plads til, at din nye tand kan passe perfekt. Tandtab kan ændre mere end bare ét sted i munden.
Hvordan hjælper ny tandpleje med disse problemer?
Dagens tandpleje har meget smarte måder at løse disse problemer på. Knogletab løses for det meste med knogletransplantation. Det er noget, tandlægen gør, hvor de tilfører ny knogle til din kæbe. De bruger måske et særligt materiale, der fungerer som knogle. Det hjælper med at genopbygge knoglestrukturen. Det gør den stærk nok til et tandimplantat.
Efter en knogletransplantation kan det være nødvendigt at vente et par måneder. Det giver den nye knogle tid til at vokse sammen med din kæbe. Når det hele er helet, kan din tandlæge sætte implantater i, velvidende at de sidder sikkert. Der er også andre nyere og bedre måder. For eksempel kan et "sinusløft" tilføre knogle til den øverste del af kæben. Procedurer som knogletransplantation har gjort implantater til et reelt valg for næsten alle mennesker.
Hvem er den bedste person til et tandimplantat?
Selv om det er muligt for de fleste, er det godt at vide, hvad der gør den bedste person til et tandimplantat. Om du kan få et tandimplantat, er baseret på et par vigtige ting. Her er, hvad du har brug for for at have den bedste chance for, at din tandudskiftning fungerer godt.
| Hvad de ser på | Hvad er bedst? | Hvorfor det er vigtigt |
|---|---|---|
| Mundhygiejne | En ren mund og ingen tandkødssygdomme nu | En ren mund forhindrer bakterier i at komme rundt om implantatet. |
| Knoglekvalitet | At have nok tykke, stærke knogler | Implantatet skal have en solid base at holde fast i. |
| Tandkødets sundhed | Tandkød, der er sundt | Sundt tandkød lukker området og holder knoglen sikker. |
| Overordnet sundhed | At være sund generelt | Det hjælper dig med at hele, når arbejdet er færdigt. |
| Livsstil | Du ryger ikke | Rygning gør helingen langsom. Det gør det også mere sandsynligt, at implantatet svigter. |
Selv om du ikke er et perfekt match på denne liste, er et tandimplantat sandsynligvis stadig et valg for dig. Din tandlæge vil lave en særlig behandlingsplan for at gøre dig klar.

Hvad er det næste skridt? Dit møde med en implantattandlæge
Hvis du overvejer et tandimplantat, er det næste, du skal gøre, nemt. Aftal en konsultation med en implantattandlæge. Det er et møde, hvor du kan stille alle dine spørgsmål. Du kan også høre, hvad en professionel mener. Du behøver ikke at gå med til noget. Det er et tidspunkt, hvor du kan udforske dine muligheder.
Under konsultationen vil tandlægen se på din mund. De vil tage røntgenbilleder og se på din sundhedsjournal. De tjekker din knoglesundhed og formen på dit tandkød. Efter at have set på alt dette, vil de fortælle dig, om du er en god person til et tandimplantat. Derefter laver de en særlig behandlingsplan til dig. Denne plan viser dig alle de trin, der er nødvendige for at give dig en ny tand, der holder i lang tid.
Key Points to Remember
- Det er næsten aldrig for sent: På grund af nutidens tandpleje kan du sandsynligvis få et tandimplantat, selv om din tand har været væk i årevis.
- Knogletab er den største forhindring: Din kæbeknogle bliver mindre, når du mister en tand, men det kan afhjælpes.
- Der er måder at ordne det på: Ting som knogletransplantation kan bygge din kæbeknogle op igen. Det gør den stærk nok til et tandimplantat.
- Dit helbred er vigtigere end din alder: Hvor sund din mund og krop er, er vigtigere end din alder.
- Et møde med en tandlæge er det bedste næste skridt: Tal med en tandlæge, der arbejder med implantater. De kan give dig en klar plan, der passer til dig.








